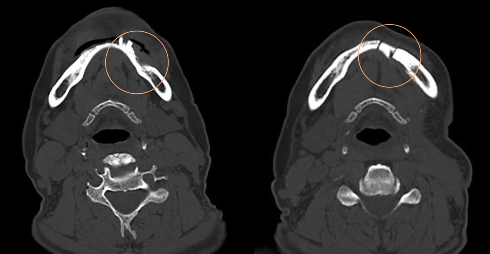
Bone scaffolds fabricated using 3D printing technologies have the benefits of availability, engineered mechanical stability, reduced morbidity, perfect graft fitment, ease of design, and manufacturing. This technology also allows for the fabrication of bone grafts with reconfigurable porosity biomimicking bone architecture based on the required application which enhances graft reabsorption rate and gives fantastic aesthetic reconstructive results thus alleviating the need for a second surgical operation.
Note: The above clinical studies on reconstruction and bone regeneration of critical-sized bone defects particularly around those defects in the 1–3.5 cm range have demonstrated good clinical and patient outcomes.









